美國CIRS 048A男性骨盆模體設計用于膀胱和前列腺的真實腹部和經直腸超聲掃描。
關鍵字:CIRS 048A,CIRS 048A男性骨盆模體,美國CIRS男性骨盆模體
美國CIRS 048A男性骨盆模體設計用于膀胱和前列腺的真實腹部和經直腸超聲掃描。
美國CIRS 048A男性骨盆模體簡介:
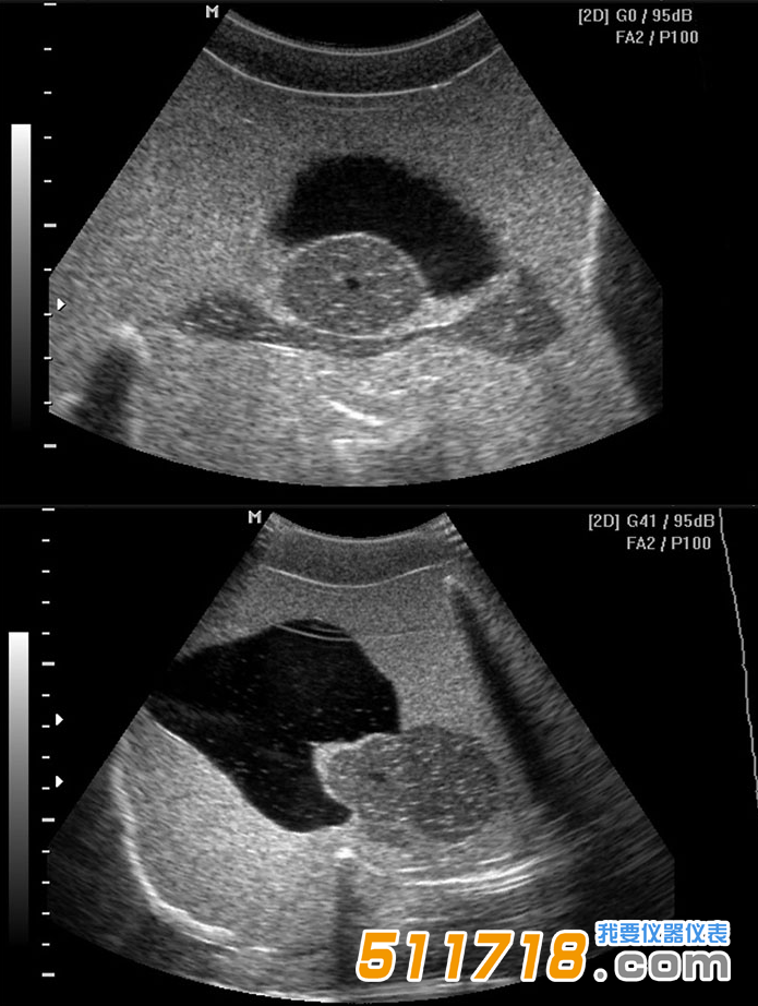
美國CIRS 048A多模態男性骨盆模體設計用于膀胱和前列腺的真實腹部和經直腸超聲掃描。CIRS 048A多模態男性骨盆模體包括骨盆骨,消聲性膀胱,前列腺,尿道,精囊和直腸,封閉在帶有Z-Skin?膜的骨盆形塑料外殼中。Z-Skin的自我修復特性使該設計成為活組織檢查和其他圖像引導程序演示的理想選擇。
美國CIRS 048A多模態男性骨盆模體由可在超聲,MRI和CT下成像的材料制成,使模體可用于需要多種形式的應用,例如放射治療計劃。該體模具有經過認證的前列腺和膀胱體積,可以評估體積測量精度。可以進行修改,例如*久嵌入式近距離放射治療“虛擬”種子或金基準標記,用于演示目標可視化。
每個模型都帶有合規證書。
美國CIRS 048A男性骨盆模體特征:
超聲,MRI和CT下的圖像
評估前列腺和膀胱的體積測量精度
展示活檢技術和其他圖像引導程序


美國CIRS 048A男性骨盆模體產品規格:
| 產品規格 | |
| 外形尺寸 | 15厘米寬x 11厘米長×11厘米高 |
| 幻影重量 | 16磅 (5.9公斤) |
| 背景 | Zerdine? |
| 尿道 | Zerdine? 超聲造影:消聲 直徑: ?" |
| 精囊 | Zerdine? 超聲波對比度: Isoechoic到前列腺 直徑: ?“ |
| 直腸 | Zerdine? 超聲波對比度: Isoechoic至前列腺 直徑: 32mm |
| 骨盆 | 組織當量:環氧樹脂 衰減:高度衰減會投射陰影 |
| 膀胱 | Zerdine? 超聲波對比度: 15 dB 音量的消音: 177cc |
| 前列腺 | Zerdine? 超聲波對比度:低回聲 容量: 45cc |
| 幻影住房 | ABS外殼:熱成型為骨盆狀 膜: Z-Skin |
| CIRS 048A骨盆模體包括 | |
| 數量 | 組件說明 |
| 1 | 多模式骨盆幻影 |
| 1 | 合規證書 |
| 1 | 用戶指南 |
| - | 6個月保修 |
| 型號048A-035套件包括 | |
| 數量 | 組件說明 |
| 1 | 多模式骨盆幻影 |
| 1 | CT DICOM數據集(序列號特定, 1.5 mm切片厚度@ 120 kvp) |
| 1 | 合規證書 |
| 1 | 用戶指南 |
| - | 6個月保修 |